Z medycznego punktu widzenia, nie ma przeciwwskazań do noszenia aparatu ortodontycznego, ale zamki od aparatów stałych mogą wpływać na układ warg. W niektórych przypadkach, po kilku miesiącach noszenia aparatu, można zaobserwować tymczasowe powiększenie ust. Warto zatem przyjrzeć się bliżej, jak aparat ortodontyczny może zmieniać nasz wygląd.
Kluczowe informacje:- Aparat ortodontyczny może wpływać na kształt i objętość ust, ale efekty są różne dla każdej osoby.
- Zamki aparatu mogą oddziaływać na układ warg, co może prowadzić do zmian w ich wyglądzie.
- Noszenie aparatu przez dłuższy czas może powodować tymczasowe powiększenie ust.
- Estetyczne zmiany w obrębie twarzy mogą również obejmować symetrię oraz linię uśmiechu.
- Opinie osób noszących aparat oraz ekspertów wskazują na różnorodność doświadczeń związanych z estetyką.
Czy aparat ortodontyczny wpływa na wygląd ust i warg?
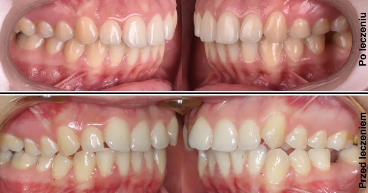
Noszenie aparatu ortodontycznego może znacząco wpłynąć na wygląd ust oraz kształt warg. W wyniku działania aparatu, zmienia się układ zębów i szczęki, co z kolei może prowadzić do zmiany objętości ust. Osoby noszące aparat mogą zauważyć, że ich usta wydają się pełniejsze, szczególnie w początkowych fazach leczenia. Dodatkowo, zmiany w ustawieniu zębów mogą wpływać na kontur warg, co może dawać wrażenie, że usta są bardziej wyraziste. Warto jednak zauważyć, że te zmiany są często subtelne i mogą różnić się w zależności od indywidualnych cech anatomicznych każdego pacjenta.
Jak aparat może wpłynąć na objętość ust i ich kształt?
Aparat ortodontyczny wpływa na objętość ust i ich kształt poprzez mechaniczne oddziaływanie na zęby i szczęki. Siły wywierane przez zamki i druty aparatu prowadzą do przesunięcia zębów, co zmienia dynamikę warg. W miarę jak zęby są przesuwane do odpowiednich pozycji, może to powodować rozciąganie tkanek wokół ust, co w niektórych przypadkach prowadzi do ich optycznego powiększenia. Dodatkowo, zmiany w kształcie łuku zębowego mogą wpływać na to, jak usta są ułożone w spoczynku oraz podczas mówienia czy uśmiechania się, co również może wpływać na ich postrzeganą objętość.
Czy noszenie aparatu powoduje tymczasowe powiększenie ust?
Noszenie aparatu ortodontycznego może prowadzić do tymczasowego powiększenia ust, co jest efektem zmian w układzie zębów i ich położeniu. W miarę jak aparat wywiera siłę na zęby, może to wpłynąć na tkanki miękkie wokół ust, co czasami powoduje ich optyczne powiększenie. Takie zmiany są zazwyczaj krótkotrwałe i mogą być szczególnie widoczne w pierwszych miesiącach noszenia aparatu. Warto jednak zauważyć, że nie każdy pacjent doświadczy tych efektów, a ich intensywność może różnić się w zależności od indywidualnych cech anatomicznych. Po pewnym czasie, w miarę adaptacji organizmu do aparatu, te zmiany mogą się ustabilizować.
Estetyczne zmiany w obrębie twarzy podczas noszenia aparatu
Aparat ortodontyczny wpływa nie tylko na usta, ale także na ogólną estetykę twarzy. Zmiany w ustawieniu zębów mogą wpłynąć na proporcje twarzy oraz na sposób, w jaki rysy są postrzegane. W miarę jak zęby są przesuwane do właściwych pozycji, może to prowadzić do poprawy symetrii twarzy i ogólnego wyglądu. Dodatkowo, zmiany w linii uśmiechu mogą również wpłynąć na sposób, w jaki twarz wygląda w trakcie uśmiechu. W rezultacie, wiele osób zauważa pozytywne zmiany w wyglądzie twarzy podczas noszenia aparatu, co może zwiększyć pewność siebie i satysfakcję z własnego wyglądu.
Jak aparat wpływa na symetrię twarzy i rysy?
Noszenie aparatu ortodontycznego może znacząco wpłynąć na symetrię twarzy oraz rysy. W miarę jak zęby są przesuwane do właściwych pozycji, mogą zmieniać się proporcje twarzy, co prowadzi do poprawy symetrii. Dobrze wyregulowane zęby mogą wspierać prawidłowe ustawienie szczęki, co z kolei wpływa na kontur twarzy. Zmiany te są często zauważalne w dłuższym okresie noszenia aparatu, kiedy to zęby osiągają swoje docelowe położenie. W rezultacie, wiele osób dostrzega nie tylko poprawę w wyglądzie zębów, ale także w ogólnym kształcie twarzy.
Zmiany w linii uśmiechu a noszenie aparatu ortodontycznego
Aparat ortodontyczny ma także wpływ na linię uśmiechu, co jest istotnym aspektem estetyki twarzy. W trakcie leczenia zęby mogą być przesuwane w sposób, który zmienia kąt i wysokość linii uśmiechu. Przesunięcie zębów do właściwej pozycji może prowadzić do bardziej harmonijnego i atrakcyjnego uśmiechu. Zmiany te mogą również wpłynąć na sposób, w jaki osoba postrzega siebie oraz jak jest postrzegana przez innych. W miarę jak uśmiech staje się bardziej wyrazisty, może to zwiększyć pewność siebie pacjenta.
Opinie i doświadczenia osób noszących aparat ortodontyczny
Osoby noszące aparaty ortodontyczne często dzielą się swoimi doświadczeniami związanymi z estetyką i wyglądem. Wiele z nich zauważa, że aparat wpłynął na ich uśmiech oraz ogólną pewność siebie. Niektórzy pacjenci podkreślają, że zmiana w linii uśmiechu sprawiła, że ich usta wydają się pełniejsze. Inni zauważają poprawę symetrii twarzy, co również wpływa na ich postrzeganie siebie. Te osobiste historie pokazują, jak aparat ortodontyczny może zmienić nie tylko zęby, ale i całe oblicze.
Osobiste historie: jak aparat zmienił wygląd moich ust?
Wiele osób ma ciekawe historie dotyczące zmian, jakie zaszły w ich wyglądzie po założeniu aparatu. Przykładowo, Anna, 24-letnia studentka, zauważyła, że jej usta stały się bardziej wyraziste, co zwiększyło jej pewność siebie. Z kolei Michał, 30-letni programista, zwrócił uwagę na to, że jego uśmiech stał się bardziej harmonijny, a usta wydają się pełniejsze. Karolina, 19-letnia uczennica, opowiada, że aparat poprawił kształt jej ust, co wpłynęło na sposób, w jaki się uśmiecha. Takie historie ilustrują, jak noszenie aparatu ortodontycznego może wpłynąć na postrzeganie własnego wyglądu.
- Anna, 24 lata: "Mój uśmiech stał się bardziej wyrazisty, a usta wydają się pełniejsze."
- Michał, 30 lat: "Aparat poprawił symetrię mojej twarzy, co zwiększyło moją pewność siebie."
- Karolina, 19 lat: "Zauważyłam, że mój uśmiech jest teraz bardziej harmonijny, a usta wyglądają lepiej."
Ekspert radzi: co mówi ortodonta o estetyce i aparatach?
Ortodonta zwraca uwagę, że estetyka noszenia aparatu ortodontycznego jest istotnym aspektem, który wpływa na samopoczucie pacjentów. Z perspektywy specjalisty, aparaty mogą poprawić nie tylko zgryz, ale również wygląd twarzy i uśmiechu. Wiele osób zauważa, że po zakończeniu leczenia ich usta wyglądają pełniej, co jest wynikiem lepszej symetrii i proporcji twarzy. Eksperci podkreślają, że każdy przypadek jest inny, a efekty estetyczne mogą się różnić w zależności od indywidualnych cech pacjenta i długości leczenia.
Jak dbać o usta i uśmiech podczas leczenia ortodontycznego?
Utrzymanie zdrowia ust i uśmiechu podczas noszenia aparatu ortodontycznego jest kluczowe. Ważne jest, aby regularnie myć zęby, zwracając szczególną uwagę na miejsca wokół zamków. Używanie nici dentystycznej oraz płynów do płukania jamy ustnej również pomaga w zachowaniu higieny. Ponadto, warto unikać twardych i lepkich pokarmów, które mogą uszkodzić aparat. Dbanie o usta w tym czasie pomoże uniknąć podrażnień i zapewni lepszy efekt końcowy leczenia.
Najlepsze praktyki pielęgnacji ust w trakcie noszenia aparatu
Aby skutecznie dbać o usta podczas noszenia aparatu ortodontycznego, warto stosować kilka sprawdzonych praktyk. Po pierwsze, nawilżanie ust balsamem jest kluczowe, aby zapobiec ich przesuszeniu. Po drugie, regularne wizyty u dentysty pozwolą na bieżąco monitorować stan zdrowia jamy ustnej. Dobrą praktyką jest również używanie szczoteczki do zębów o miękkim włosiu, co minimalizuje ryzyko podrażnień. Wreszcie, warto rozważyć stosowanie specjalnych produktów do pielęgnacji, które są dedykowane osobom noszącym aparaty ortodontyczne.
- Regularne mycie zębów po każdym posiłku, szczególnie w okolicach zamków.
- Używanie balsamu do ust, aby zapobiec ich przesuszeniu.
- Stosowanie szczoteczki do zębów o miękkim włosiu dla delikatniejszego czyszczenia.
- Regularne wizyty u dentysty w celu monitorowania stanu zdrowia jamy ustnej.
- Rozważenie użycia specjalnych produktów do pielęgnacji jamy ustnej przeznaczonych dla osób z aparatem.
Jak technologia wpływa na przyszłość pielęgnacji ust podczas ortodoncji?
W miarę jak technologia rozwija się, pojawiają się nowe rozwiązania, które mogą zrewolucjonizować sposób, w jaki dbamy o usta i zęby podczas leczenia ortodontycznego. Na przykład, inteligentne szczoteczki do zębów z wbudowanymi czujnikami mogą dostarczać informacji o technice szczotkowania oraz obszarach, które wymagają większej uwagi. Takie innowacje mogą pomóc pacjentom w utrzymaniu lepszej higieny jamy ustnej, co jest kluczowe podczas noszenia aparatu ortodontycznego.
Dodatkowo, aplikacje mobilne mogą oferować przypomnienia o pielęgnacji jamy ustnej oraz sugerować spersonalizowane rutyny na podstawie indywidualnych potrzeb pacjenta. Dzięki tym technologiom, pacjenci będą mogli lepiej monitorować swoje postępy i dbać o zdrowie ust, co przyczyni się do osiągnięcia optymalnych rezultatów estetycznych i zdrowotnych w trakcie leczenia ortodontycznego.






